

BÁC SĨ ĐẦU TIÊN TẠI VIỆT NAM THỰC HIỆN THÀNH CÔNG CÁC KỸ THUẬT PHỨC TẠP:
Nghiên cứu và phát minh kĩ thuật ghép 2 mảnh xương vỏ mào chậu để phục hồi xương ổ răng bị khuyết hổng và cấy ghép implant cho bệnh nhân khe hở môi vòm miệng. Công trình nghiên cứu từ năm 2010 đến 2014 đã bảo vệ thành công luận án tiến sĩ 2015. Công trình đã được đăng trên tạp chí The Cleft Palate Craniofacial Journal 2018 là tạp chí thuộc Hiệp hội Khe hở môi hàm mặt Hoa Kỳ (ACPA)



Dời thần kinh hàm dưới kết hợp cấy ghép implant đồng thời (2013). Công trình được công bố trên tạp chí Journal of Oral and Maxillofacial Surgery năm 2020 là tạp chí chính thức của Hiệp hội Phẫu thuật Miệng và Hàm Mặt Hoa Kỳ (AAOMS). Công trình đã được báo cáo tại Hội nghị RHEIN'83 tại Ý năm 2017 và tại Tây Ban Nha năm 2018.



Cấy ghép Implant xương gò má cải tiến cho người tiêu xương trầm trọng (2014). Công trình đã được báo cáo tại hội nghị quốc tế về Phẫu thuật Miệng và Hàm Mặt (ICOMS) tại Úc 2015, Hồng Kông 2017 và công bố tóm tắt trên tạp chí International Journal of Oral and Maxillofacial Surgery, 2015 là tạp chí thuộc Hiệp hội quốc tế về Phẫu thuật Miệng và Hàm Mặt (IAOMS)



Cấy ghép răng cho bệnh nhân không răng bẩm sinh (nhờ kết hợp 2 kỹ thuật dời thần kinh và Implant xương gò má cải tiến (2016). Công trình đã được báo cáo và công bố tóm tắt trên tạp chí International of Oral and Maxillofacial Surgery2017 thuộc Hiệp hội Phẫu thuật Miệng và Hàm Mặt Quốc tế (IAOMS)



Nghiên cứu, áp dụng thành công kỹ thuật implant cá nhân hóa cho bệnh nhân không răng bẩm sinh và người bị tiêu xương hàm nghiêm trọng. Công trình đăng trên tạp chí Y học 2024.



Ứng dụng thành công công nghệ định vị cấy ghép implant (X guide navigation), cũng là công nghệ đầu tiên tại khu vực Đông Nam Á. Công trình báo cáo và giảng dạy tại Thái Lan 2022 và Ấn Độ 2022



Kĩ thuật khâu vá màng xoang hàm cải tiến để xử lý biến chứng lủng lớn màng xoang trong cấy ghép implant. Đề tài đã được báo cáo tại Hội nghị LES PRINTANIÈRES Cộng Hòa Pháp 2018 và công bố trên trên chuyên đề Tai Mũi Họng và phẫu thuật đầu cổ 2019



Ghép xương khối tự thân 3 chiều phục hồi các khuyết hổng xương nghiêm trọng để cấy ghép implant. Công trình được báo cáo và tóm tắt trên Tạp chí Biomedical Research and Therapy (BMRAT) 2017.
BÁC SĨ VIỆT NAM TIÊN PHONG:
Nghiên cứu tái sinh xương và tái sinh mô nướu trong phẫu implant vùng thẩm mỹ. Công trình phối hợp nghiên cứu với các chuyên gia của đại học Bari, Ý. Công trình đăng trên tạp chí Regenerative Medicine and Plastic Surgery, 2019


Cấy ghép implant vùng thẩm mỹ


Cấy ghép implant phục hồi toàn diện chức năng nhai và thẩm mỹ cho người bị nha chu nghiêm trọng, người mất răng toàn bộ và người cao tuổi nhiều bệnh nền.


Nghiên cứu cấy ghép răng cho bệnh nhân đặc biệt: bệnh nhân sau điều trị ung thư (đã xạ và hóa trị), bệnh nhân dùng thuốc loãng xương, bệnh nhân dùng rượu, thuốc lá, phụ nữ trong giai đoạn tiền mãn kinh và mãn kinh,...


QUÁ TRÌNH HỌC TẬP

Năm 1997
Tốt nghiệp loại giỏi trường Đại học Y Dược TP. Hồ Chí Minh, là 1 trong 10 Bác sĩ được tuyển thẳng vào chương trình Bác sĩ nội trú.

Năm 2002
Tốt nghiệp Bác sĩ nội trú tại Đại học Y Dược TP.HCM. Luận văn Thạc sĩ: "Giới thiệu hệ thống CAD/CAM nha khoa và ứng dụng nghiên cứu in Vitro vi kẽ phục hồi xoang loại II".

Năm 2003
Tốt nghiệp khóa đào tạo 2 năm về phẫu thuật miệng - nha chu trong chương trình hợp tác liên đại học giữa ĐH Marseille và ĐH Y Dược TP. Hồ Chí Minh.

Năm 2010
Tốt nghiệp chương trình đào tạo Implant Nha khoa tại Đại học NewYork, Hoa Kỳ.

Năm 2012
Tốt nghiệp Master Clinican In Implant Dentistry tại Đại học UCLA, Hoa Kỳ.

Năm 2015
Bảo vệ thành công luận án tiến sĩ tại Viện nghiên cứu khoa học y dược lâm sàng 108.
BÁO CÁO VIÊN TẠI CÁC DIỄN ĐÀN KHOA HỌC QUỐC TẾ

6/2018: BÁO CÁO VIÊN TẠI HỘI NGHỊ QUỐC TẾ RHEIN’83 TẠI TÂY BAN NHA
Hội nghị Quốc tế Rhein’83 tại Barcelona, Tây Ban Nha diễn ra với quy mô hoành tráng, chuyên nghiệp, quy tụ hơn 700 hội thảo viên tham dự. Tại hội nghị, Ts.Bs Võ Văn Nhân đã báo cáo đề tài: “Di chuyển thần kinh hàm dưới và cấy ghép Implant xương gò má trong phục hình phủ trên Implant”. Đây là một kỹ thuật mới được nghiên cứu và đồng thời đánh dấu bước đột phá trong ngành Implant, mở ra nhiều cơ hội để điều trị cho các bệnh nhân mất răng toàn hàm.

5/2018: BÁO CÁO VIÊN TẠI HỘI NGHỊ QUỐC TẾ CỦA HIỆP HỘI Implant NHA KHOA TẠI PHNOM PENH – CAMPUCHIA
Tại Hội nghị của Hiệp hội Implant Campuchia, Ts.Bs Võ Văn Nhân đã mang đến một đề tài vô cùng hấp dẫn: “Kỹ thuật cải tiến trong cấy ghép Implant Zygoma – đạt kết quả rất tốt sau 5 năm theo dõi”. Bài báo cáo đã được các chuyên gia Implant hàng đầu khu vực Đông Nam Á đánh giá cao bởi giá trị khoa học và thực tiễn. Với nội dung hấp dẫn và phong cách trình bày lôi cuốn, bài báo cáo đã góp phần tạo nên sự thành công cho toàn Hội nghị.

3/2018: BÁO CÁO VIÊN TẠI HỘI NGHỊ QUỐC TẾ Implant NHA KHOA LES PRINTANIERES TẠI PHÁP
Ts.Bs Võ Văn Nhân báo cáo đề tài: “Khâu vá màng xoang bị thủng lớn - Một phương pháp tiếp cận mới trong xử lý biến chứng liên quan đến tiến trình nâng xoang, ghép xương và cấy ghép Implant”. Theo Dr Carole LECONTE và Dr Philippe ROCHE-POGGI - chủ tọa của hội nghị: “Đề tài của Dr. Nhân mới lạ và độc đáo. Cùng với phong cách trình bày sôi động, dí dỏm đã hấp dẫn và lôi cuốn thính giả khiến khán phòng thật sự tỉnh ngủ sau giờ ăn trưa”.

6/2017: BÁO CÁO VIÊN TẠI HỘI NGHỊ QUỐC TẾ “GIẢI PHÁP TOÀN CẦU TRONG ĐIỀU TRỊ MẤT RĂNG TOÀN HÀM” TỔ CHỨC TẠI BOLOGNA – Ý
Ts.Bs Võ Văn Nhân đã báo cáo đề tài: “Di chuyển thần kinh hàm dưới cấy ghép Implant trong phục hình tháo lắp phủ trên Implant”. Với những lý thuyết và dẫn chứng cụ thể được đúc kết từ những ca lâm sàng thực tế, bài báo cáo của Bác sĩ Nhân để lại nhiều ấn tượng, mở ra một góc nhìn mới cho giải pháp phục hình Implant và nhận được những lời đánh giá cao của các giáo sư và các báo cáo viên quốc tế tại hội nghị.

4/2017: BÁO CÁO VIÊN TẠI HỘI NGHỊ QUỐC TẾ PHẪU THUẬT MIỆNG HÀM MẶT LẦN THỨ 23 TẠI HONG KONG
Đề tài “Phục hình cố định cho bệnh nhân loạn sản ngoại bì không răng bẩm sinh bằng phương pháp cấy ghép Implant xương gò má hàm trên và dời thần kinh hàm dưới để cấy Implant đồng thời" của Ts.Bs Võ Văn Nhân tại hội nghị đã nhận được rất nhiều ý kiến khen ngợi. Dr. Boyd Tomasetti (USA) chia sẻ: "Đây thực sự là kỹ thuật rất hay, công trình của Dr Nhân đã đóng góp vào sự hoàn thiện của kỹ thuật Implant trên thế giới".

10/2015: BÁO CÁO VIÊN TẠI HỘI NGHỊ QUỐC TẾ PHẪU THUẬT MIỆNG HÀM MẶT (ICOMS) TẠI MELBOURNE – AUSTRALIA
Đây là diễn đàn khoa học hàng đầu thế giới về lý thuyết nghiên cứu và phát triển ứng dụng lâm sàng liên quan đến phẫu thuật Miệng Hàm Mặt, thu hút hơn 1.700 đại biểu đến từ 70 quốc gia tham dự.Ts.Bs Võ Văn Nhân được mời báo cáo tại hội nghị với đề tài: “Cải tiến kỹ thuật cấy ghép Implant xương gò má”. Những nghiên cứu của ông được giới chuyên môn đánh giá cao, đóng góp cho ngành nha khoa thế giới hoàn thiện kỹ thuật Implant xương gò má.
BÁO CÁO VIÊN TẠI CÁC DIỄN ĐÀN KHOA HỌC TRONG NƯỚC
Báo cáo viên tại hội nghị
Khoa học và đào tạo liên tục Răng Hàm Mặt do Hiệp hội Răng Hàm Mặt Việt Nam (VOSA) tổ chức năm 2015, 2016, 2017, 2018, 2019
Báo cáo viên tại hội nghị
Khoa học & Triển lãm Răng Hàm Mặt Quốc tế 9, 10, 11, 12 do Hiệp hội Răng Hàm Mặt VN (VOSA) tổ chức năm 2016, 2017, 2018, 2019
Báo cáo viên tại hội nghị
Cấy ghép Nha khoa (HSDI) lần 4 (2017), lần 5 (2019) do Hội Y học HCM và Hội cấy ghép nha khoa tổ chức
Báo cáo viên tại hội nghị
Khoa học VIDEC 9, 10, 11, 12 do Hiệp hội Răng Hàm Mặt VN (VOSA) tổ chức năm 2016, 2017, 2018, 2019
Chủ tọa tại các hội nghị khoa học
CHUYÊN GIA CẤY GHÉP RĂNG IMPLANT, PHỤC HỒI RĂNG CHO CÁC TRƯỜNG HỢP ĐẶC BIỆT
Tiến sĩ, Bác sĩ Võ Văn Nhân với hơn 23 năm kinh nghiệm trong lĩnh vực Implant Nha khoa, đã thực hiện thành công hơn 20.000 ca cấy ghép răng Implant từ đơn giản đến phức tạp. Những thành tựu đặc biệt mà Ts.Bs Võ Văn Nhân đạt được góp phần mang lại nụ cười hạnh phúc, mở ra cơ hội cho rất nhiều trường hợp mất răng, không răng bẩm sinh.

Dời thần kinh hàm dưới để cấy ghép răng Implant
Ts.Bs Võ Văn Nhân đã thực hiện thành công kỹ thuật dời thần kinh để cấy ghép Implant cho bệnh nhân N.V.L - bị mất răng do đạn bắn hơn 40 năm, dẫn đến tiêu xương hàm trầm trọng (không đủ thể tích xương và nướu để đặt Implant), không thể đặt Implant bằng phương pháp thông thường. Sau 5 tháng, bệnh nhân N.V.L đã hoàn toàn bình phục và có thể nhai tốt những thức ăn dai, cứng.

Cấy ghép Implant xương gò má cho bệnh nhân bị tiêu xương hàm trên trầm trọng
Bệnh nhân L.N.L có xương hàm trên bị tiêu trầm trọng cả theo chiều dọc và chiều ngang, chỉ còn một vài milimet, vùng răng sau xương hàm xuống thấp. Ts.Bs Võ Văn Nhân đã thực hiện kỹ thuật cấy Implant xương gò má. Đây là phương pháp rất khó vì Implant có lộ trình dài, nằm gần các cấu trúc giải phẫu quan trọng như màng xoang hàm, thần kinh dưới ổ mắt, sàn ổ mắt,…

Dời dây thần kinh hàm dưới và cấy ghép Implant xương gò má hàm trên cho bệnh nhân thiếu răng bẩm sinh
Bệnh nhân N.T.K.H - bị thiếu răng bẩm sinh nên xương hàm không phát triển, cộng với việc đeo hàm giả từ khi còn trẻ, khiến cho xương hàm trên và dưới bị tiêu trầm trọng. Để phục hồi chỉ còn một giải pháp duy nhất là thực hiện đồng thời hai kỹ thuật: dời dây thần kinh, cấy ghép Implant để phục hồi răng hàm dưới và cấy ghép Implant xương gò má để phục hồi răng hàm trên.

Dời dây thần kinh hàm dưới và cấy ghép Implant xương gò má hàm trên cho bệnh nhân không răng bẩm sinh
Bệnh nhân B.Q.L mắc hội chứng loạn sản ngoại bì, không có răng từ lúc mới sinh, dẫn đến xương hàm không phát triển, nướu teo và mỏng, xương hàm trên tiêu chỉ còn sát nền mũi, xương hàm dưới còn lại rất ít, chỉ cách dây thần kinh 1 mm. Ts.Bs Võ Văn Nhân cũng áp dụng đồng thời 2 kỹ thuật: phẫu thuật dời thần kinh để trồng răng hàm dưới và Cấy ghép Implant xương gò má để trồng răng hàm trên.

Ghép 2 mảnh xương vỏ mào chậu cho bệnh nhân khe hở môi và vòm miệng
Ts.Bs Võ Văn Nhân đã phát minh và áp dụng thành công kỹ thuật ghép 2 mảnh xương vỏ mào chậu trong phục hình khe hở huyệt răng cho bệnh nhân khe hở môi và vòm miệng. Công trình nghiên cứu về kỹ thuật này của Bs Nhân đã được Tạp chí y khoa hàng đầu thế giới “The Cleft Palate – Craniofacial Journal (CPCJ, Hoa Kỳ)” thuộc Hiệp hội khe hở vòm miệng sọ mặt Hoa Kỳ công bố.
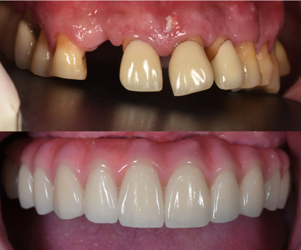
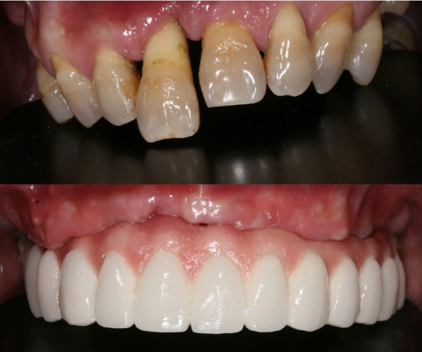
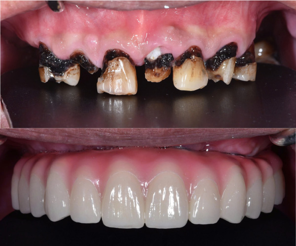
KHÁCH HÀNG TẠI NHA KHOA NHÂN TÂM
TS.BS VÕ VĂN NHÂN VÀ CÁC CHUYÊN GIA NHA KHOA HÀNG ĐẦU VIỆT NAM & THẾ GIỚI
Thầy PGS.TS Lê Đức Lánh - Nguyên trưởng khoa RHM - Đại học Y Dược TP.HCM
Thầy GS.TS Trịnh Đình Hải, Chủ tịch Hội RHM Việt Nam - Giám đốc Bệnh viện RHM Trung ương TP.HCM
Thầy TS.BS Trương Mạnh Dũng - Viện trưởng Viện đào tạo RHM - Trường ĐH Y Hà Nội
Thầy GS.TS Hoàng Tử Hùng - Nguyên Trưởng Khoa Răng Hàm Mặt, Đại học Y Dược TP.HCM
Giáo sư Luigi Checchi - Chuyên gia về Nha chu và Phẫu thuật Răng Miệng - Đại học Bologna, Ý
Giáo sư Federico Alfaro Hernandez - Chuyên gia về Implant và Phẫu thuật Miệng Hàm Mặt, Tây Ban Nha.
GS.TS.BS Jaime Lozada - Chủ tịch Viện nghiên cứu Implant nha khoa căn bản Hoa Kỳ
TS.BS Josheph Choukroun - Chuyên gia điều trị lành thương và tái tạo mô xương, ĐH Montpellier, Pháp
Liên hệ
Địa chỉ
CN1: 803-809 Đường 3/2, Phường Diên Hồng (Phường 6, Quận 10 cũ), Tp.HCM
CN2: 35-37 Nguyễn Thị Thập, Phường Tân Hưng (Quận 7 cũ), Tp.HCM
Hotline
1900 56 5678Website
www.drnhan.vn





